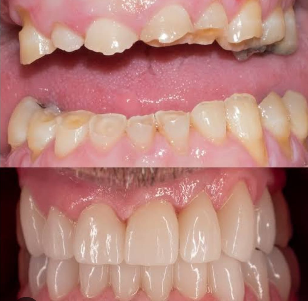
Tooth wear is a common dental issue that occurs when the protective enamel on your teeth gradually erodes. This can result from teeth grinding (bruxism), frequent consumption of acidic foods or drinks, improper brushing techniques, or simply natural aging. Over time, enamel loss may cause tooth sensitivity, changes in appearance, and increase the risk of cavities or fractures.
At Olivegreen Dental Clinic, one of the leading dentist clinics in Jaipur, our approach to managing tooth wear begins with identifying its root cause. Based on your individual condition, our experienced dentists may recommend:
- Protective dental restorations to rebuild worn surfaces
- Strengthening treatments such as fluoride applications or bonding
- Lifestyle and dietary guidance to prevent further enamel loss
Our goal is to restore function, enhance comfort, and protect your natural teeth for years to come.
Early diagnosis plays a key role in preventing serious complications. If you notice sensitivity, thinning teeth, or changes in your bite, consult Olivegreen Dental Clinic in Jaipur for a comprehensive evaluation. With timely, personalized care, you can maintain a healthier, brighter smile and long-lasting oral health.









